Ecografía del tercer trimestre: tamaño y peso fetales
El bienestar del bebé se comprueba a través del examen ecográfico

- ¿Qué parámetros se utilizan en la estimación del tamaño fetal durante la ecografía del tercer trimestre?
- ¿Se puede conocer el peso fetal mediante la ecografía del tercer trimestre?
- ¿Cómo podemos conocer el estado de bienestar fetal a través de la ecografía?
¿Qué parámetros se utilizan en la estimación del tamaño fetal durante la ecografía del tercer trimestre?
En estas semanas de embarazo se utilizan los mismos parámetros de medición que en la ecografía de la semana 20.
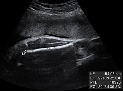
De rutina se mide el diámetro biparietal (medida entre los dos huesos parietales del cráneo), la circunferencia del abdomen fetal y la longitud del fémur.
En casos determinados puede ser necesario hacer otras medidas, como el perímetro cefálico, la longitud del húmero, cúbito, radio, tibia o peroné, la medición de diámetro transcerebeloso, etc.
Estas medidas se calculan con valores de referencia que nos permiten conocer los percentiles fetales y si el feto está creciendo adecuadamente.

Tabla de equivalencia para la medición del diámetro biparietal, el perímetro abdominal y el fémur. P50 significa percentil 50 y equivale a la media del valor para una determinada semana de embarazo. P10 y P90 son los percentiles 10 y 90, respectivamente. La medición se expresa en milímetros (mm). Los valores de estas tablas han sido tomados del libro de Dario Paladini, "Ultrasound of Congenital Anomalies", publicado por Informa Healthcare en el año 2007 en Londres (Reino Unido).
¿Se puede conocer el peso fetal mediante la ecografía del tercer trimestre?
Es posible hacer una estimación aproximada de su peso. Para ello existen diferentes fórmulas, las más habituales tienen en cuenta la medida del diámetro biparietal (DBP), la circunferencia del abdomen (CA) y la longitud del fémur (LF). Se trata por tanto de una estimación. El margen de error puede llegar a ser de más menos del 15 al 20 por ciento. El peso estimado se compara con tablas de referencia que nos dan el percentil o la desviación estándar sobre el peso teórico.
En términos generales, un feto pesa 1.000 gramos en la semana 28, 2.000 gramos en la 32, y 2.500 gramos la semana 35. Suele aumentar 200-250 gramos semanales desde la semana 28 hasta la 38.

Peso fetal estimado a partir de la semana 20 de embarazo. P50 significa percentil 50 y equivale al peso medio para una determinada semana de embarazo. P10 y P90 son los percentiles 10 y 90, respectivamente. Tomado de Hadlock FP. "In utero analysis of fetal gowth: A sonographic wight standard. Radiology", 1991;181:129.
¿Cómo podemos conocer el estado de bienestar fetal a través de la ecografía?
Podemos deducir que un feto se encuentra bien si su frecuencia y ritmo cardiacos son adecuados, si el crecimiento es el esperado, si tiene movimientos activos, si la actitud (tono muscular) es la correcta, si presenta movimientos respiratorios, si la placenta no está demasiado envejecida o pequeña y si el líquido amniótico es normal.
Además, tenemos la ecografía Doppler, que nos da información sobre las características del flujo sanguíneo a través de los vasos. Para el control del bienestar fetal los vasos más estudiados son la arteria umbilical y la arteria cerebral media. Con la aplicación del Doppler se obtienen unas gráficas de flujo, que nos informan sobre normalidad o anormalidad