Ecografía del tercer trimestre: Medición del diámetro biparietal
Esta medida indica el crecimiento del bebé
06/04/2017
|Actualizado: 13/11/2024
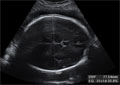
En la ecografía 2D del tercer trimestre de embarazo se puede hacer la medición del diámetro biparietal, que es la distancia que existe entre los huesos parietales del cráneo. Esta medida es una buena referencia del crecimiento fetal. En la imagen, esta medida aparece acotada por una línea discontinua.

Ecografía de la medición del diámetro biparietal
Ecografía Embarazo 2D y 3D - TERCER TRIMESTRE: Peso y tamaño del feto
Ecografía Embarazo 4D - TERCER TRIMESTRE: Peso y tamaño del feto






