Ecografía del tercer trimestre: Doppler del cordón umbilical
Mide el flujo sanguíneo
06/04/2017
|Actualizado: 13/11/2024
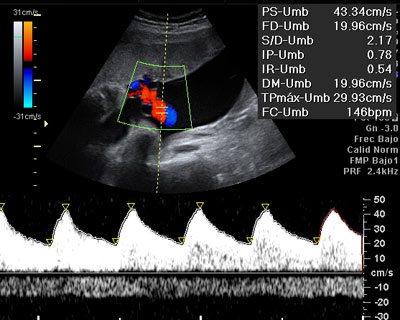
La ecografía Doppler en el tercer trimestre de embarazo permite conocer cómo es la flujo sanguíneo en el cordón umbilical. Si resulta normal quiere decir que el feto recibe la cantidad de oxígeno necesario para su correcto desarrollo.

Ecografía Doppler normal del cordón umbilical
La ecografía Doppler nos ayuda a valorar si el estado de salud fetal es adecuado.
Ecografía Embarazo 2D y 3D - TERCER TRIMESTRE: Peso y tamaño del feto
Ecografía Embarazo 4D - TERCER TRIMESTRE: Peso y tamaño del feto






