Ecografía: Cómo se detecta el hueso nasal ausente
Es un marcador de cromosomopatías
28/03/2017
|Actualizado: 13/11/2024
La ausencia de hueso nasal y tener un pliegue nucal aumentado son marcadores que se detectan en la ecografía de la semana 12 y que pueden significar que el feto padece alguna alteración cromosómica, como es el síndrome de Down.

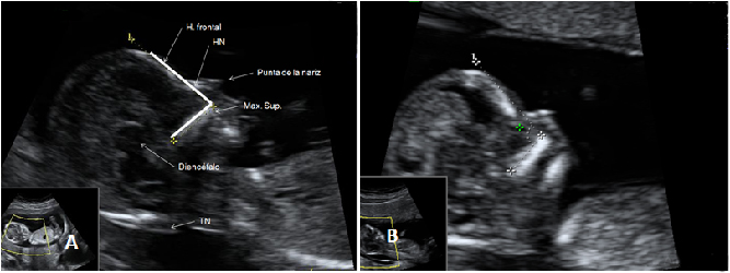
Ecografía de hueso nasal ausente
En A se aprecia el hueso nasal (flecha) en una gestación normal de 12 semanas. En B, un embrión de 12 semanas con síndrome de Down, en el que el hueso nasal está ausente y además tiene una translucencia nucal aumentada.
Ecografía Embarazo 2D y 3D Semana 12 - PRUEBAS DIAGNÓSTICAS
Imagen del hueso nasal ausente (A) y pliegue nucal aumentado (B)
Ecografía del flujo patológico de un feto de la semana 12











