Embarazada y síndrome de Down, la eterna duda
El ultrasonido puede detectar ciertos marcadores
Las estrategias para realizar un correcto diagnóstico prenatal de las anomalías cromosómicas han variado a lo largo de estos últimos cuarenta años. Al final de los años setenta se introdujo la práctica de realizar amniocentesis a todas las mujeres por encima de los 35 años.
En aquella época tan sólo el 5% de las embarazadas superaban dicha edad. Los resultados fueron muy discretos, ya que únicamente se diagnosticaban el 30% de las portadoras de un síndrome de Down, síndrome de Edwards o de Patau.
Se eligió dicha edad debido a que el riesgo de padecer una alteración cromosómica era igual al de perder el embarazo por la realización de la prueba diagnóstica, es decir por la realización de la amniocentesis.
En todo el mundo se reportan cifras del 0.5 al 1% de pérdidas fetales tras su ejecución. Porque, de cada 1.000 amniocentesis que realicemos, se producirán entre cinco y diez abortos por la prueba, y de cada 1.000 nacimientos de mujeres por encima de los 35 años nacerían cuatro bebés con síndromes de Down, Edwards o Patau si no se les ha realizado a lo largo del embarazo ninguna prueba para detectarlos.
Cómo conocer el riesgo de anomalías cromosómicas
Pero, ¿qué pasa con el otro 70 por ciento de cromosomopatías que quedan sin diagnosticar? ¿Hay algún modo de saberlo? A partir de los años 90, Nicolaides -ginecólogo griego afincado en Londres- describió que dos proteínas placentarias, la PAPP-A y la beta-hCG libre, unidas a la translucencia nucal y la edad gestacional predecían el riesgo de padecer un síndrome de Down.
De tal modo que aquellas embarazadas que tenían un riesgo superior a 1/270 se les aconsejaría realizar una prueba invasiva, ya sea una amniocentesis a partir de las 15 semanas -nunca antes- o una biopsia corial alrededor de las 12 semanas. Y a las que tenían un riesgo inferior, no estaría indicado realizarles dichas pruebas.
Así surgió el concepto de cribado combinado del primer trimestre. El concepto de cribado es muy importante. Se trata de realizar una prueba sencilla, segura y barata a toda la población de embarazadas entre las 11 y 14 semanas. Además atiende a un problema de salud importante por su frecuencia y gravedad, ofreciendo resultados en poco tiempo para de ese modo poder actuar en caso de ser necesario de la forma más rápida posible.
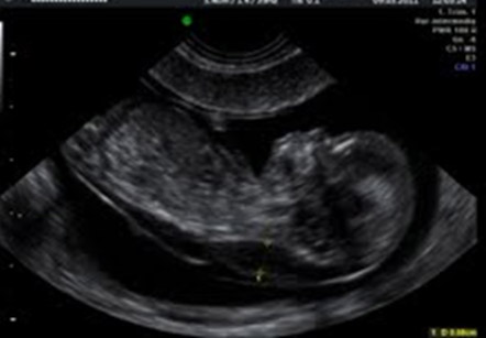
Ecografías que detectan el síndrome de Down

Translucencia nucal (TN) aumentada
Es un marcador tanto de cromosomopatías (síndrome de Down y otros) como de afectación cardiaca.

