Ecografía semana 12: El pliegue nucal o translucencia
Translucencia nucal normal y patológica
03/04/2017
|Actualizado: 13/11/2024
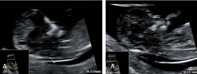
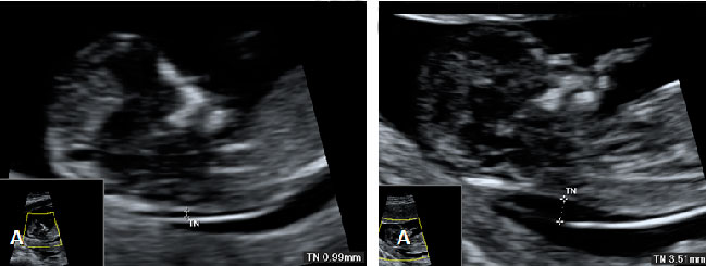
La ecografía de la derecha muestra a un bebé con un cribado positivo que resultó tener un síndrome de Down. La translucencia nucal (o pliegue nucal) por ecografía se ve como un espacio negro en la parte posterior del cuello, acotado por las marcas del ecografista. El bebé de la izquierda tiene una translucencia nucal normal.

Translucencia nucal (TN) normal (A) y patológica (B)
Ecografía Embarazo 2D y 3D Semana 12 - PLIEGUE NUCAL
Ecografía Embarazo 4D Semana 12 - PLIEGUE NUCAL





