Embarazo semana 12: ¿Bebé con pliegue nucal aumentado?
El ultrasonido revela las grandes malformaciones
A partir de la semana 12 de embarazo el bebé experimenta un rápido crecimiento. Ya ha finalizado la organogénesis o periodo de formación de órganos, unas semanas cruciales para su desarrollo sano. La gran mayoría de las estructuras fetales ya están formadas en esta semana. A partir de ahora, el feto va a crecer y madurar de forma muy notable.
Semana 12 de embarazo: desarrollo del bebé

Ha pasado el periodo embrionario, cuando tu hijo es más susceptible a posibles agentes externos (fármacos, exposición a rayos X o inhalaciones tóxicas) que puedan interferir en su desarrollo y causar malformaciones. En el periodo fetal que comienza en esta semana 12 de embarazo el crecimiento del bebé se acelera.
Cómo es un bebé de 12 semanas de gestación
¡Calcula tus semanas de embarazo, tu fecha de parto y el peso ideal en tu semana de gestación!
- El peso del feto oscila entre 8 y 14 gramos y mide entre 5 y 6 centímetros desde la cabeza al coxis.
- Los huesos tienen unos centros de osificación que les permiten ir creciendo. Los dedos de manos y pies están separados unos de otros y tienen movimiento.
- Las uñas están creciendo y aparece el primer vestigio de pelo en todo su cuerpo.
- Los genitales están prácticamente diferenciados.
- El sistema nervioso fetal está desarrollándose y la hipófisis está segregando muchas hormonas.
- El intestino delgado es capaz de contraerse para transportar la comida.
- El feto se mueve estirando y encogiendo los brazos y las piernas, abriendo la boca y estirando el cuello.
Síntomas de la semana 12 de embarazo
Notas ahora a tu bebé si ya has tenido hijos
Todavía es muy pronto para notar a tu hijo moverse dentro de ti, aunque algunas gestantes que ya han estado embarazadas previamente, son capaces de sentir movimientos fetales desde el comienzo del segundo trimestre de gestación.
Las náuseas van a menos en la semana 12
A estas alturas es raro que persistan las náuseas:
- En el 60% de las gestantes, estas molestias desaparecen en la semana 12.
- En otro 30%, en la semana 16 de embarazo.
- Y solo en un 10% de los casos persiste hasta el final de la gestación, aunque de forma esporádica.
La aparición de las náuseas parece estar relacionada con factores hormonales: la hormona del embarazo, la β-hCG es una de las responsables, ya que cuando sus niveles están más aumentados es entre la semana 6 de embarazo y la 12, coincidiendo con el apogeo de las náuseas.
Embarazada de gemelos, más síntomas
Por eso, en las gestaciones múltiples, donde los niveles de β-hCG son mayores, también existen más náuseas. Aunque algunas gestantes permanecen con náuseas, generalmente matutinas, hasta el final del embarazo, esto no se considera algo preocupante ni perjudicial para tu hijo.
¿Tienes antojos en tu embarazo?
Pueden aparecer antojos a partir de esta semana de la gestación. Los alimentos que más se desean son los dulces, sobre todo el chocolate, las frutas ácidas como el limón, los productos lácteos como batidos y yogures y también la comida muy condimentada como la mejicana. También son antojos alimentos fríos, como helados y refrescos.
Las bebidas gaseosas, como las que llevan cola, se desean con frecuencia porque también alivian las naúseas y los vómitos. Otras veces los antojos son mezclas caprichosas de alimentos como pepinillos envueltos en queso, yogur con flan de huevo, leche condensada con atún, aceitunas con tarta de queso o croquetas mojadas en mayonesa.
Tratamiento contra las náuseas
Si además de náuseas, lo que persisten son los vómitos varias veces al día, deberías consultarlo con tu médico para que te recete algún fármaco antiemético (para evitar vómitos). Si estos vómitos son persistentes, puede aparecer deshidratación, mal aliento, pérdida gradual de peso y alteración en el sentido del gusto, llamándose entonces hiperémesis gravídica. En estos casos, ya se considera una situación grave, tanto para la madre (pudiendo originar daño renal o hepático) como para el hijo (afectando en su desarrollo y crecimiento), por lo que en muchos casos requiere de ingreso e hidratación intravenosa, así como de apoyo psicológico.
Semana 12 de embarazo: pruebas diagnósticas
Nuevo cribado de preeclampsia
La preeclampsia es una complicación del embarazo consistente en tensión arterial elevada y proteínas en la orina. Puede acompañarse de edemas en miembros inferiores o en todo el cuerpo y en casos graves de alteraciones del hígado, la coagulación y los riñones. Puede presentarse de forma precoz antes de las 34 semanas de embarazo llamándose “preeclampsia precoz” o más allá de las 34 semanas, denominándose “ preeclampsia tardía”.
Recientemente se está realizando en muchos centros el cribado de preeclampsia tanto en el primer como en el segundo trimestre para identificar a las gestantes que tienen más probabilidad de desarrollar preeclampsia en el embarazo y administrarles de forma preventiva aspirina, que ha demostrado que reduce el riesgo de preeclampsia pretérmino ( > 37 semanas) en más de un 60% de los casos.
Cómo se predice el riego de tensión alta en tu embarazo
-
Este cribado de preeclampsia se realiza entre las semanas 11 y las 13 de embarazo.
- El cribado combinado combina con factores maternos (edad, índice de masa corporal, raza...), tensión arterial, ecografía Doppler de arterias uterinas y un marcador bioquímico segregado en la placenta llamado PLGF que te determinarán en sangre en la misma analítica donde te solicitaron la BetaHCG y la PAPP-A.
- El resultado te lo darán al mismo tiempo que el del cribado del síndrome de Down.
- Este cribado predice aproximadamente un 90% de la preeclampsia precoz (<34 semanas), 75% de la preeclampsia pretérmino (<37 semanas) y un 45% de la preeclampsia a término (≥37 semanas), para una tasa de positivos del 10%.
- En caso de tener riesgo de preeclampsia, te deben administrar aspirina y controlar en una unidad de alto riesgo.
Cómo es la ecografía de la semana 12
Tiene especial interés la ecografía en la semana 12 y es la primera que se realiza en la mayoría de los centros públicos. Además de ver la viabilidad fetal (el latido de su corazón) y hacer las medidas regladas (cabeza, abdomen y fémur) para establecer la edad gestacional, está ecografía nos permite diagnosticar grandes malformaciones y determinar el grosor del pliegue nucal.
La medida del pliegue nucal (técnicamente llamado translucencia nucal) se considera un marcador de alteraciones genéticas como el síndrome de Down o el Turner, y es la zona que queda por detrás del cuello del feto. Cuando el grosor es mayor de la media normal (generalmente en torno a los 3 milímetros en la semana 12) puede existir mayor riesgo de que se asocie a un feto con síndrome de Down y por tanto, recomendarse la realización de una amniocentesis a partir de la semana 15 de embarazo o una biopsia corial en ese momento para confirmar el diagnóstico.
Qué detecta el screening o cribado combinado
Las embarazadas que tengan un translucencia nucal aumentada (o pliegue nucal aumentado)en la ecografía y no quieran someterse a una prueba diagnóstica invasiva como la biopsia corial o la amniocentesis, pueden optar por la realización en un centro privado del test de ADN fetal en sangre maternal. La medida de la translucencia nucal por si sola no confirma ningún diagnóstico. La ecografía debe acompañarse de una prueba llamada screening bioquímico y junto a ella forma el llamado screening o cribado combinado.
Las alteraciones genéticas de las que se nos informan con esta prueba son algunas cromosopatías como el síndrome de Down (trisomía 21), el síndrome de Patau (trisomía 13) y el Síndrome de Edwards (trisomía 18). La combinación de estas pruebas realizadas antes de la semana 12 puede detectar hasta el 85% de las alteraciones de los cromosomas en el feto.
Falsos negativos y falsos positivos del cribado combinado
La realización de estas pruebas no supone ningún riesgo físico ni para ti ni para tu hijo. Es importante recordar que los resultados obtenidos no garantizan el nacimiento de un niño normal, puesto que no eliminan la posibilidad de que tu bebé pueda tener una malformación congénita o un retraso mental por otras causas.
Puede haber resultados dudosos por dificultad en la interpretación de las imágenes ecográficas. Esta prueba tiene entre un 0,5-9% de falsos negativos, en los que hay alteración cromosómica al nacimiento habiendo dado el test un riesgo muy bajo. Y en el 5-10% de los test con resultado positivo (riesgo alto de cromosomopatía), no hay alteraciones en el feto. También es importante que sepas que para la realización del cribado bioquímico es necesario firmar un consentimiento informado.
Si el riesgo del cribado combinado es alto (valores menores de 1/270) se aconseja la realización de pruebas invasivas como la amniocentesis o la biopsia corial para confirmar el diagnóstico; o actualmente la realización en un centro privado del test de AND fetal en sangre materna.
- La ausencia de hueso nasal
- La insuficiencia tricuspídea
- El flujo reverso en el ductus venoso
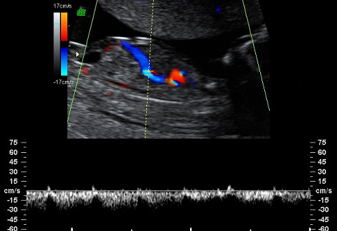
Feto de 12 semanas con medición del ductos venoso
El ductos venoso es la comunicación entre la vena umbilical y el corazón y en esta imagen vemos el corte longitudinal en un feto de 12 semanas. Se trata de un marcador ecográfico de aneuplodía (anomalía cromosómica) en la semana 12 de embarazo, ya que un 80% de los fetos con trisomía 21 (síndrome de Down) tienen un flujo anormal en el ductos venoso.
Esta ecografía debe realizarse en un hospital o centro con ecografistas expertos. Si aparece alguno de estos tres marcadores, el riesgo pasa de ser intermedio a alto y se aconsejará una prueba invasiva. Si no hay ninguno de estos tres marcadores, el riesgo pasará a ser bajo y no se aconsejará ninguna otra prueba diagnóstica.






