Ecografía 3D de la semana 9: Trillizos
Cada uno de los bebés crece en su bolsa amniótica
En esta ecografía en tres dimensiones (3D) se ve un embarazo de trillizos de 9 semanas. Uno de los bebés, "crece" solo dentro con una bolsa y placenta independiente. Más abajo se aprecian a otros dos bebés que también se desarrollan en bolsas independientes.

Ecografía de trillizos de 9 semanas en 3D
En la imagen se ve un embarazo de trillizos de 9 semanas tomado por un ecógrafo en tres dimensiones (3D). Se diferencia perfectamente en la parte superior de un primer bebé "en solitario" con su bolsa y placenta independientes. Una membrana gruesa le separa de sus hermanos, que se gestan con él en el útero materno. Precisamente en la parte inferior de la imagen podemos observar a los dos gemelos en bolsas también independientes, con una fina membrana de separación entre ellos.
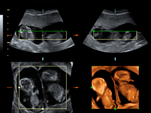
Ecografía Embarazo 2D y 3D Semana 12 - ANOMALÍAS CROMOSÓMICAS
Ecografía Embarazo 4D Semana 12 - ANOMALÍAS CROMOSÓMICAS






