Ecografía 2D y 3D de la semana 12: embarazo de trillizos
Los gemelos se desarrollan en bolsas independientes
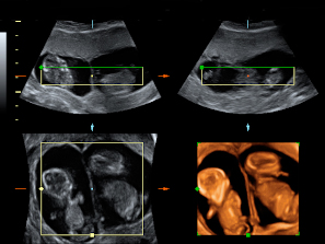
Vemos tres planos de un embarazo de trillizos en ecografía 2D en diferentes cortes de imagen. Lo que vemos en 3D es lo que los ecografistas conocen como "un queso", es decir el embarazo visto en tres dimensiones desde una perspectiva determinada. Lo que realmente esconde ese peculiar queso es un embarazo de trillizos: un feto independiente, separado de sus hermanos por una membrana.

Imágenes de trillizos de 13 semanas en ecografía 2D
Los gemelos se desarrollan en dos bolsas diferentes. En otro corte de la imagen, se ve un embrión independiente separado por una membrana de los otros dos hermanos, que se sitúan en bolsas independientes.
Ecografía Embarazo 2D y 3D Semana 12 - ANOMALÍAS CROMOSÓMICAS
Ecografía Embarazo 4D Semana 12 - ANOMALÍAS CROMOSÓMICAS





