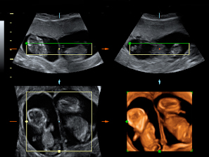
Ecografía 4D de la semana 12: Gemelos contrapeados
Uno de los bebés se mueve dentro de su bolsa
30/03/2017
|Actualizado: 13/11/2024
Ecografía en 4D de gemelos de 12 semanas "contrapeados" En este caso, el gemelo que "baila" es el que está en parte inferior de la imagen o cabeza abajo.
Ecografía Embarazo 4D Semana 12 - ANOMALIAS CROMOSÓMICAS
Ecografía Embarazo 2D y 3D Semana 12 - ANOMALIAS CROMOSÓMICAS
Dr. Roberto Rodríguez
Ecografista experto del Hospital La Paz (Madrid)
Artículos Relacionados
La ecografía en el embarazo múltiple
La ecografía es el mejor método diagnóstico no sólo para identificar una gestación gemelar, sino también para catalogarla y especificar su corionicidad (número de placentas) y su amniocidad (número de bolsas). Por tanto, siempre que una gestante esté embarazada de dos embriones, no nos...
Nutrición en el embarazo de gemelos
Las embarazadas de gestación múltiple deben aumentar la ingestión diaria en unas 300 kilocalorías más con respecto a las gestaciones únicas y en unas 600 kilocalorías más que las mujeres no embarazadas. El peso que debe ganar la gestante de gemelos durante el embarazo depende de su índice...
El embarazo múltiple: mellizos y gemelos
¡Embarazada de gemelos! Entre el 2 y el 3 por ciento de las gestaciones en España corresponden a embarazos gemelares, una tasa que ha aumentado en las últimas décadas por las técnicas de reproducción asistida. Siete de cada diez casos son gemelos dicigotos (conocidos como mellizos, es...
Gestaciones múltiples
Se entiende por gestación o embarazo múltiple aquel en el que se desarrolla más de un feto. No todas las gestaciones múltiples son iguales. Estos embarazos pueden ser de varios tipos: monocigótico o dicigóticos. Y la diferencia la marca el número de óvulos "implicados" en el proceso de...






