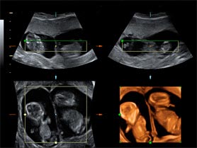
Ecografía para el diagnóstico del embarazo gemelar
Permite saber cuántos bebés hay, si comparten la placenta y/o la bolsa
La ecografía es el mejor método diagnóstico no sólo para identificar una gestación gemelar, sino también para catalogarla y especificar su corionicidad (número de placentas) y su amniocidad (número de bolsas).
Por tanto, siempre que una gestante esté embarazada de dos embriones, no nos debemos conformar con señalar que es una gestación gemelar, sino que es imprescindible indicar si es bi o monocorial y si es bi o monoaminotica, ya que el pronóstico y el control del embarazo es distinto.
Las pacientes que han conseguido su gestación mediante técnicas de reproducción asistida, ya saben que tienen más probabilidades de tener una gestación gemelar, sobre todo si les han transferido dos embriones como en los casos de FIV-ICSI. Pero no siempre que se transfieren dos embriones se consigue una gestación gemelar, sino que a veces sólo un embrión llega a implantarse.
En principio, toda gestante a la que le hayan transferido dos embriones y los dos se implantan bien y tienen latido, va a tener una gestación gemelar bicorial biamniótica. Pero hay casos descritos en los que tras transferir dos embriones, uno no sigue adelante y el otro se divide en dos, dando lugar a una gestación gemelar monocorial biamniótica.
La mujer que se queda embarazada espontáneamente de gemelos es a la que debe realizarse una primera ecografía más cuidadosa para determinar de forma certera la corionicidad (número de placentas) y la animosidad (número de bolsas). El momento idóneo para ello es durante el primer trimestre o al principio del segundo trimestre, ya que en el tercer trimestre, la visualización de las membranas es más difícil, así como la o las placentas.
Diagnóstico ecográfico de gestación gemelar bicorial
El indicador más fiable de bicorionicidad (dos placentas) es la visualización de dos placentas separadas. Este signo es de gran utilidad en gestaciones muy precoces, ya que posteriormente estas placentas pueden fusionarse.
Si sólo se visualiza una placenta, la mejor forma de establecer si es bicoriónica es la presencia del signo "Lambda" o de "Twin Peak". Este signo se trata de una proyección triangular del tejido coriónico que se extiende desde las dos placentas hasta la membrana interfetal. Este signo es útil al principio de la gestación ya que después de la semana 20 se hace menos prominente y suele desaparecer.
Otro método diagnóstico de bicorionicidad es la identificación de dos láminas en la propia membrana interfetal, las cuales se suelen ver con mayor claridad entre las 16 y las 24 semanas. Este signo es difícil de visualizar y no se emplea con asiduidad por los tocólogos.
Sin embargo, el grosor de la membrana interfetal si se utiliza como marcador de corionicidad ya que las gestaciones bicoriales (dos placentas) tienen una membrana más gruesa (compuesta de 4 hojas: 2 amnios y 2 corion) que la de las gestaciones monocoriales (compuesta por 2 hojas de amnios).
Un signo también utilizado para diagnosticar una gestación con dos placentas es la confirmación de sexos distintos durante el primer trimestre.
Diagnóstico ecográfico del embarazo gemelar monocorial
El signo ecográfico que identifica la gestación monocorial (una sola placenta) es el signo de la "T". Se refiere al ángulo de 90º que forma la fina membrana interfetal con la placenta. La presencia del signo "T" tiene una sensibilidad muy alta para el diagnóstico de la gestación monocorial.
La amniocidad o el número de bolsas en la gestación monocorial se debe realizar en la primera ecografía. A partir de la semana 8 de gestación, la cavidad amniótica aumenta de tamaño como resultado del incremento de líquido amniótico, lo que permite una mejor visualización del saco amniótico. Como ya se ha comentado, en la gestación gemelar bicorial biamniótica (dos placentas y dos bolsas), cada saco contiene un embrión y existe una zona gruesa con abundante tejido coriónico (placentario) que separa ambos sacos.
Para resumir, el diagnóstico, de la gestación gemelar, es importante recalcar que hay que determinar la corionicidad (número de placentas) y la animocidad (número de bolsas), sobre todo en las gestaciones gemelares espontáneas, ya que la mayoría de las gestaciones provenientes de técnicas de reproducción asistida van a ser bicoriales biamnióticas (dos placentas y dos bolsas). En la ecografía del primer trimestre tienen que haberte dicho tu tipo de gestación gemelar.
Existen tres reglas para determinar precozmente gestaciones gemelares, antes de la semana 12 y del cribado combinado del primer trimestre el tipo de gestación ante la cual nos encontramos:
-
Si hay dos sacos gestacionales, y cada uno contiene una vesícula vitelina y un único embrión, nos encontramos ante una gestación gemelar bicorial biamniótica.
-
Si existe un saco gestacional que contiene una única vesícula vitelina y dos embriones, se trata de una gestación gemelar monocorial monoaminotica.
-
Si vemos un único saco gestacional con dos vesículas vitelinas y dos embriones, casi con todas seguridad se trate de una gestación gemelar monocorial biamniótica.
Por tanto, en la primera ecografía de una embarazada de gemelos se debe verificar el latido cardiaco de ambos embriones, el tamaño de los mismos (para ver si corresponde con la edad gestacional según la última regla) y se debe intentar catalogar el tipo de gestación gemelar definiendo el número de embriones, el número de placentas (corionicidad) y el de bolsas (amniocidad). Posteriormente se citará a la gestante para la ecografía de la semana 12.
