Cómo es la ecografía del embrión semana a semana
Todas las etapas del embarazo precoz
La primera ecografía que se realiza a una embarazada ofrece datos muy interesantes sobre la gestación, aunque el embrión sea minúsculo. Detallamos a continuación los elementos que se identifican en las primeras ecografías, así como las etapas de desarrollo embrionario.
¿Por qué es tan importante la primera ecografía?
"La ecografía en las primeras semanas de gestación nos puede ayudar en muchos aspectos, pues casi todos los seres humanos vamos consiguiendo determinados hitos en las mismas semanas de gestación y medimos más o menos lo mismo las primeras semanas de embarazo. Es más adelante cuando ya se establecen diferencias raciales, familiares, del propio embarazo que harán que unos seamos más grandes o más pequeños".
Dra. Onica Armijo, especialista en Fertilidad del Hospital La Paz (Madrid)
¿Cuándo se puede ver el saco gestacional?
La primera estructura detectable por ecografía es el saco gestacional. Aparece como una pequeña esfera de líquido, con los bordes muy marcados, dibujándose en el espesor del endometrio. Suele crecer un milímetros por día. Con los mejores ecógrafos y en condiciones favorables, puede verse en la semana cuatro y dos días, cuando mide tan sólo 2 milímetros de diámetro.

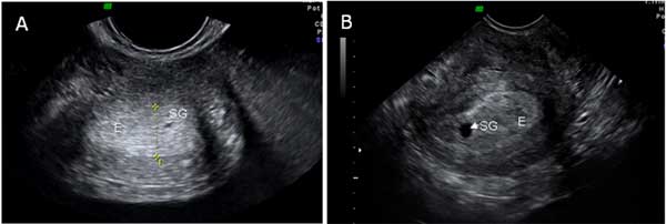
Podemos ver dos sacos gestacionales (en ambas imágenes, con las siglas SG) de 1 y 7 milímetros (4,1 y 4,4 semanas). Son las primeras estructuras del embarazo que se identifican por ecografía. Tienen forma de pequeñas esferas llenas de líquido, que se hacen visibles en el espesor del endometrio (E). En su interior acabará visualizándose el embrión.
¿Cuándo se ve el embrión en la ecografía?
"Es en la semana 5ª cuando ya aparecen los ecos embrionarios, que se miden cogiendo toda su longitud. Antes se visualiza el saco vitelino, que es como un aro que alimenta al embrión las primeras semanas de gestación y que se encuentra pegado al mismo. Siempre es visible con sacos de más de 10 milímetros de diámetro.
El tamaño del saco vitelino también nos orienta de cómo evolucionará la gestación: Crece a un ritmo de 1 mm por semana, y es signo de buen pronóstico que no tenga un tamaño demasiado pequeño ni demasiado grande".
Dra. Onica Armijo, especialista en Fertilidad
¿Qué es y cómo se visualiza el saco vitelino?
Su misión es transferir nutrientes al embrión hasta que se desarrolla la circulación entre éste y la placenta. El saco vitelino es la segunda estructura que se ve en la ecografía. Se trata de una pequeña esfera llena de líquido, que aparece en el interior del saco gestacional. Se hace visible mediante ultrasonido durante la quinta semana de embarazo y suele desaparecer hacia la semana 12 de embarazo.
Embarazo de 4,5 semanas. Vemos el saco gestacional -marcado con un asterisco (*) en la imagen- y el saco vitelino (marcado con una flecha), pero todavía no se aprecia embrión. El saco vitelino siempre es visible por ecografía antes que el embrión.
¿Y si el embrión no crece o crece lentamente?
"En estas primeros momentos, el hecho de que el desarrollo vaya demasiado lento o retrasado puede alarmarnos pues puede indicar que se ha detenido el desarrollo, es decir se ha interrumpido la gestación o que el embrión no es cromosómicamente normal y por ello tiene un desarrollo más lento", explica la ginecóloga Onica Armijo. Pueden darse estas situaciones, indica la doctora, que los especialistas valoran:
- Embarazo más tardío: "En ocasiones nos hemos quedado embarazadas más tarde y estamos de menos semanas porque hemos ovulado con retraso y por eso no concuerdan las semanas con la ecografía".
- Fallo de visualización: "También pudiera ocurrir que estemos de tan pocas semanas que no se vea porque el límite de definición del ecógrafo no alcance a ver el embrión -a veces no son todo lo modernos que quisiéramos- o bien en pacientes muy obesas, aunque la ecografía sea vaginal y /o por su localización no lleguemos a ver todavía todas las estructuras".
- Repetición de la ecografía: "Si todavía no se han visto estructuras que deberían haber aparecido (en el ultrasonido), se actúa con cautela y se repite la ecografía en 7-10 días para ver si ya han aparecido y hubieran podido darse alguno de los supuestos anteriores".
- Ecografía de la semana 8: la cara del bebé empieza a conformarse. Pincha aquí para ver las imágenes.
¿Cómo se ve un bebé de 5 semanas en una ecografía?
"En la mayoría de los casos -explica la doctora Onica Armijo- miden ya 2 mm (es como una semilla de una manzana y tiene forma de “C”) y al final de la misma semana ya puede objetivarse el latido cardíaco que se observará como un parpadeo en la pantalla y en aquellos ecógrafos con Doppler permitirá escucharlo". Estos son los aspectos de la ecografía que hay que tener en cuenta:
- El corazón del bebé late muy rápido y va aumentando esta frecuencia conforme pasan las primeras semanas.
- El embrión crece a ritmo de 1 mm por día aproximadamente.
- Pegado a él, aparecerá el saco vitelino.
¿Qué pasa si en la ecografía no se ve el embrión?
"Habrá que tener en cuenta la fecha de la última regla y los niveles de una hormona del embarazo, que se llama BHCG, esto nos orientará para saber si la gestación sigue adelante o si está situada fuera del útero.
Ante la sospecha de un embarazo ectópico (no situado en el útero) miraremos con la ecografía vaginal, las trompas, el cuello del útero por si estuviera situado en esa localización. Si fuera así, la gestación no podría seguir adelante.
También pudiera ocurrir que se viera el saco gestacional (la bolsa que albergará el embarazo) pero que estuviera vacío o sólo se viera el saco vitelino. Se sabe que si un saco que mida 15 mm, está completamente vacío, quiere decir la gestación se ha interrumpido: es lo que se llama 'huevo huero'”.
Dra. Onica Armijo, especialista en Fertilidad
¿Y si en la ecografía de la semana 6 no se ve el embrión?
La doctora Armijo detalla qué debe pasos se deben dar si en la semana 6 de embarazo no se detecta al embrión en la ecografía:
- En estas semanas el embrión debería medir entre 3-6 mm y tener latido cardíaco, por lo que si no se ve en estas semanas, habría que replantearse si está de menos tiempo la embarazada o si se ha interrumpido la gestación.
- Si no se tiene una ecografía previa para comparar, se suele repetir en unos 7-10 días para comprobar si realmente se ha parado la evolución de la gestación.
- Habría que plantearse ante la confirmación de que la gestación no es evolutiva, evacuar el útero o bien con pastillas, que es lo que se llama tratamiento médico o bien mediante legrado.
Cómo es el desarrollo del embrión: Busca tu semana








