Ecografía embrión semana 5: Crece 1 milímetro por día
El bebé mide entre 2 y 5 mm
Al comienzo de la semana 5 de embarazo el embrión mide aproximadamente 2 milímetros. En este tiempo, el tamaño embrionario se estima midiendo su longitud total. Un poco más adelante, cuando el embrión ya empieza a tener forma y distinguimos las extremidades, medimos la longitud cráneo-caudal (CRL), es decir, la distancia que existe entre la cabeza y la nalga.
Embrión de 5 semanas: Cómo interpretar la ecografía
Inicialmente el embrión se ve anclado en la periferia del saco vitelino y crece aproximadamente un 1 milímetro por día.

Embarazos de cinco semanas en imágenes
Podemos apreciar dos gestaciones de 5,1 (A) y de 5,2 semanas (B) en una ecografía de dos dimensiones. Se identifican dos embriones, de 1 y de 1,7 milímetros respectivamente (situados entre las marcas), en los que todavía no se aprecia latido cardiaco. Durante la quinta semana, el embrión aparece en íntimo contacto con el saco vitelino (SV), adosado a uno de sus bordes. El saco gestacional (SG) aloja ambas estructuras.

Gestación de 5 semanas en 2D y 3D
Presentamos el mismo embarazo de 5,3 semanas visto por ecografía 2D (A) y 3D (B) para que podamos apreciar las diferencias. Las siglas significan lo siguiente:
- SG: Saco gestacional
- SV: Saco vitelino
- E: Embrión, que en este caso mide de 3 milímetros de longitud

Ecografía de 5 semanas con sonda vaginal
Este examen ecográfico de un embarazo de 5,6 semanas está realizado con sonda vaginal. A la derecha (A), se aprecia el saco gestacional (SG), la zona de las vellosidades coriales (P) que dará lugar a la futura placenta, el saco vitelino (SV) y el embrión (E), que mide 5 milímetros y ya tiene latido cardiaco visible por ecografía. A la izquierda (B), se observa una vista panorámica del útero con el embarazo (*), alojado en la zona del cuerno derecho uterino.
El latido cardiaco puede apreciarse hacia la quinta semana y cuatro días. Un embrión de 5 milímetros (correspondiente al inicio de la sexta semana) o más debe tener siempre latido cardiaco.
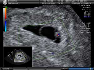
Embrión de dos semanas en ecografía Doppler
En esta ecografía 2D se aprecia un embrión de 2 milímetros y 5,2 semanas de gestación. La ecografía Doppler color puede ayudarnos a apreciar con mayor claridad la vitalidad del embrión. Las manchas de color rojo y azul ponen en evidencia el latido cardiaco; lo que se colorea es la sangre en movimiento.
Ecografía en 4D de un embarazo de 5 semanas
Esta ecografía tridimensional en rotación muestra una gestación de cinco semanas. Las estructuras que pueden apreciarse dentro del corte del útero son muy primarias: un saco gestacional, un saco vitelino (más pequeño, dentro del saco gestacional). Dentro de éste último se aloja el embrión, que tan sólo mide tres milímetros. Por ello, es prácticamente inapreciable en estas imágenes.
Ecografía en 4D de un embarazo de 5 semanas con sonda vaginal
La ecografía vaginal es muy utilizada para detectar el embarazo precoz, como éste de 5,3 semanas que podemos observar en un examen ecográfico en tres dimensiones. Se aprecia el final de la vagina, el cuello del útero y el propio útero con forma de corazón. En la parte superior izquierda es visible el saco gestacional y el vitelino. En este caso, el embrión, que es casi imperceptible, mide 5 milímetros y la ecografía ya aprecia el latido cardiaco.
