Lo que debes saber sobre los tratamientos de reproducción asistida
Cómo funciona la inducción de la ovulación con coito dirigido
Una vez que la pareja ha decidido acudir a la consulta de unespecialista en reproducción y se ha realizado el estudio de esterilidad, se enfrentarán posiblemente a alguno de los tratamientos de los que disponemos en las unidades de Reproducción Humana. A continuación intentaremos explicaros de una manera sencilla lostratamientos que os ofrecerán y a los que probablemente os sometáis.
Nos gustaría advertir de antemano que estas técnicas siempre suponen un desgaste emocional importante; en algunos casos esto se acentúa por el coste económico. Por eso es muy importante el apoyo de la pareja. Es importante ser realistas, saber las probabilidades reales de cada técnica y no derrumbarse ante un resultado negativo.
¡El embarazo no siempre se consigue a la primera!
Existen tres tipos de tratamiento, con variantes en cada uno de ellos y que os explicaremos de una manera clara en estas líneas:
- Inducción de la ovulación y coito dirigido.
- Inseminación artificial
- Fecundación in vitro
Qué es la inducción de la ovulación y el coito dirigido
Consiste en la administración de fármacos con el objetivo de desarrollar el crecimiento folicular y una vez que se identifica la presencia de folículos maduros (con un máximo de tres folículos), desencadenamos la ovulación, también de manera farmacológica.
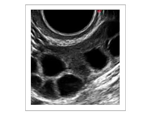
Este control del ciclo se realiza mediante ecografía transvaginal. Es importante monitorizar el ciclo mediante ecografía, sobre todo durante el primer tratamiento. La finalidad de la ecografía es evitar el desarrollo multifolicular que podría ocasionar gestaciones múltiples y/o síndrome de hiperestimulación ovárica

Ovulación y fecundación 3D

Imágen de folículos ováricos por ecografia
Habitualmente en este tipo de técnica utilizamos un fármaco llamado citrato de clomifeno, cuya ventaja es que se administra por vía oral. Cuando el clomifeno fracasa, se puede recurrir a las gonadotropinas, que se administran por vía subcutánea. La pauta debe ser individualizada según las características de cada paciente.
El fármaco que se utiliza para desencadenar la ovulación es la hCG. Esta hormona se administra cuando el folículo alcanza un determinado tamaño en la ecografía transvaginal. De esta manera, sabemos con exactitud el momento de la ovulación. La ovulación ocurre entre las 36 y 38 horas después de la administración de la hCG. Tras la inducción de la ovulación, se aconseja a las parejas tener relaciones.
¿Cuándo está indicada la inducción y el coito dirigido?
Está indicada en parejas muy jóvenes con poco tiempo de esterilidad y que tengan un trastorno de la ovulación como el Síndrome de Ovario Poliquístico y/o ninguna causa que justifique su esterilidad. Debido a que es un procedimiento cómodo y sin prácticamente riesgos, muchas parejas nos demandan esta técnica de reproducción, en ocasiones con bastante insistencia.
Sin embargo, la inducción de la ovulación debe aplicarse a parejas muy seleccionadas, ya que incluso en estos casos el porcentaje de éxito es de un 10 por ciento. Si vuestro médico no lo cree indicado, es más conveniente centrarse en otras técnicas que tendrán una probabilidad de embarazo mayor. De lo contrario muy probablemente estaréis perdiendo el tiempo.
