Embarazo semana 27: El bebé pesa casi 1 kilo y patea mucho
Tus emociones están a flor de piel
La semana 27 de embarazo es emocionante porque el bebé está entrado en la fase final del desarrollo y las patadas en la barriga de mamá son continuas. Tú notarás muchos cambios físicos y emocionales. ¡Tienes el tercer trimestre de embarazo por delante!
Cómo es un bebé de 27 de embarazo
- A partir de la semana 27, empieza el tercer y último trimestre del embarazo.
- Tu bebé ya pesa en torno a 1 kilo y la longitud total de la cabeza a los pies es de unos 34-36 centímetros.
- Los movimientos fetales son más fuertes y pueden llegar a hacerte daño.
En la semana 28 comenzará el último tramo del embarazo, tu tercer trimestre.
Semana 27 de embarazo: tripa, pecho y emociones
La línea alba es marrón
La línea marrón que atraviesa de forma vertical el abdomen se denomina línea alba, y se debe a un aumento de melanina en dicha zona de la piel. En esta semana del embarazo es cuando se hace más evidente dicha línea alba. Ten en cuenta que puede persistir hasta varios meses después del parto.
Aumenta el pecho, se oscurece y puede segregar leche
Las mamas han aumentado hasta tres veces su tamaño. En ellas pueden aparecer estrías y venas. La areola mamaria cada vez es más grande y más oscura. Y pueden aparecer en ella pequeños bultitos denominados glándulas de Morgagni. También puede brotar leche de los pezones; además, observarás que los pezones se han oscurecido.
Cambios de humor
Puede que tengas cambios de humor y pases de la risa al llanto con facilidad. Estas alteraciones psíquicas son debidas a los cambios hormonales que se producen en los embarazos. A veces el miedo a que algo pueda ir mal hace que estés angustiada y con ansiedad. Para ello, es bueno tomar una infusión de tila o melisa. La pasiflora también te tranquilizará.
Semana 27: ¿Tengo más riesgo de trombosis embarazada?
El embarazo es una situación de hipercoagulabilidad donde pueden aparecer fenómenos trombóticos. Por eso es tan importante la anticoagulación con heparina en situaciones donde el riesgo de formarse trombos en más frecuente. Si coexisten cuatro o más factores de riesgo como los nombrados a continuación se hace necesario la anticoagulación profiláctica con heparina durante todo el embarazo y 6 meses después del parto:
- Embarazo múltiple
- Gestantes mayores de 35 años
- Uso de técnicas de reproducción asistida
- Embarazada fumadora
- Gestantes con obesidad, varices o inmovilizadas
- Antecedentes familiares o personales de trombos
- Ser multípara o padecer una trombofilia.
Si tienes tres factores de riesgo, se iniciará la heparina a partir de la semana 28. La heparina debe prescribirla tu ginecólogo si tienes factores de riesgo.
Semana 27 de embarazo: pruebas diagnósticas
Es buen momento para realizarte una ecografía en tres dimensiones, ya que es cuando mejor se puede visualizar el feto: tiene el tamaño y el líquido amniótico adecuado. Esta prueba es opcional, ya que sólo se realiza en los hospitales públicos para completar el estudio fetal, concretamente cuando se diagnostica una anomalía congénita en el feto al realizar la ecografía en 2D. En el resto de los casos, las parejas se hacen esta ecografía en centros privados para tener un recuerdo de su hijo.
La ecografía 3D es la imagen quieta e instantánea del feto en tres dimensiones. Hablamos de ecografía 4D a la ecografía 3D en movimiento, a modo de vídeo. Es importante que sepas que en muchos centros donde realizan ecografía 3D, los que las hacen no son ginecólogos ni radiólogos, no adjuntando por tanto, ningún informe escrito sino solo el CD con las fotos de tu hijo.
La ecografía 3D tiene mucha utilidad en el diagnóstico de malformaciones faciales con el labio leporino. También en alteraciones de las manos, pies, brazos y piernas. Por eso ante una sospecha de alguna de estas malformaciones con la ecografía 2D, se aconseja completar el estudio con una eco en tres dimensiones.
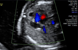
Ecografías de la semana 27 de embarazo

Ecografía semana 27: corte sagital del feto. Podemos ver la cabeza del bebé a la derecha. Se visualiza diafragma que separa cavidad torácica de la abdominal. En la parte superior del diafragma, visualizamos corazón y pulmones; en la parte inferior de dicho órgano, hígado y estómago.

Ecografía semana 27: cabeza de perfil. Vemos perfectamente en esta imagen ecográfica la órbita ocular del bebé, la nariz y la boca. Se visualizan tanto faringe como huesos maxilares.

Ecografía semana 27: corte del corazón fetal. La imagen del corazón muestra los dos ventrículos y las dos aurículas mediante la tecnología de Doppler color.

Ecografía semana 27: cara en 3D. La fisionomía de este bebé puede adivinarse mediante esta imagen en tres dimensiones.



