Ecografía del tercer trimestre: Genitales masculinos
Imagen del sexo fetal en 2D y 3D
06/04/2017
|Actualizado: 13/11/2024

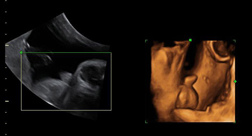
Ecografía 2D y 3D de genitales masculinos en el tercer trimestre de embarazo
Las imágenes muestran los genitales masculinos externos en ecografía de un embarazo avanzado. La ecografía en tres dimensiones, a la derecha, es más nítida: se ven las piernas levantadas y el aparato genital.
Ecografía Embarazo 2D y 3D - TERCER TRIMESTRE: Malformaciones fetales
Ecografía Embarazo 4D - TERCER TRIMESTRE: Malformaciones fetales







