Cómo es una obstrucción intestinal en un feto de 29 semanas
Ecografía de dilatación de asas intestinales
06/04/2017
|Actualizado: 22/09/2023

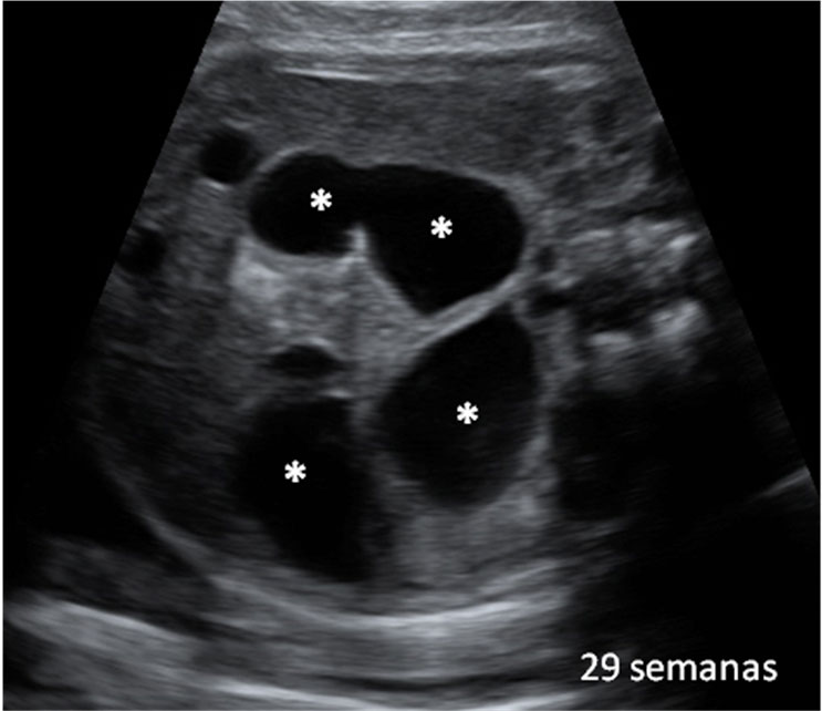
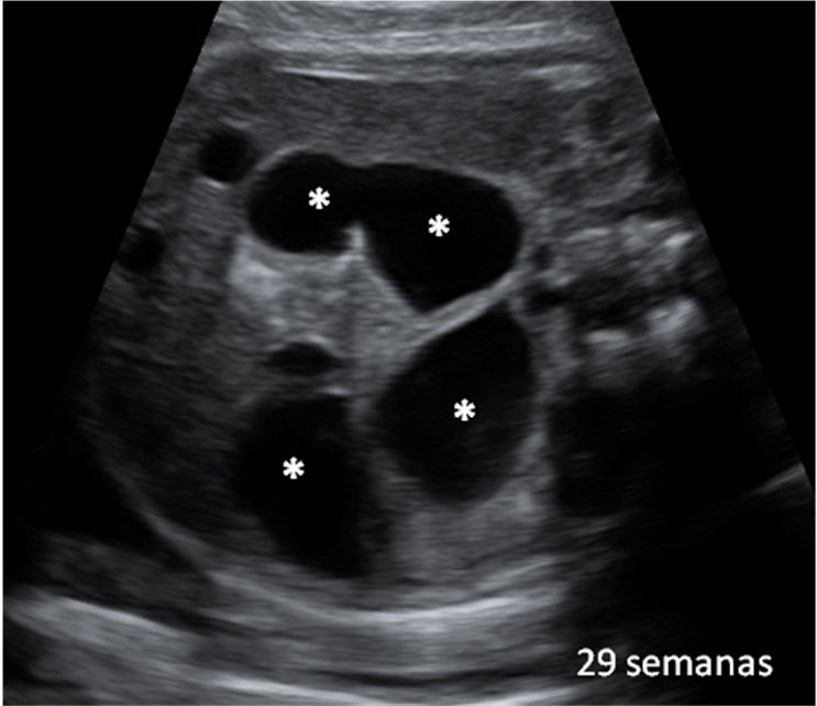
Imagen ecográfica de la dilatación de asas intestinales -marcadas con un asterisco (*)- por causa de una obstrucción en un feto de 29 semanas.
Está anomalía se diagnostica con frecuencia después de la semana 20.
Ecografía Embarazo 2D y 3D - SEMANA 20
Dr. Roberto Rodríguez
Ecografista experto del Hospital La Paz (Madrid)
Artículos Relacionados
Quinto mes: Desarrollo fetal
Cuando veas a tu fetito durante la ecografía de este mes notarás un sustancial cambio respecto de su aspecto en el primer trimestre. Notarás cómo ha crecido hasta superar los 25 centímetros. Sin embargo, su peso te puede parecer escaso, ya que apenas alcanzan los 250-300 gramos al final de...
Dilatación de asas intestinales
Imagen ecográfica de la dilatación de asas intestinales -marcadas con un asterisco (*)- por causa de una obstrucción en un feto de 29 semanas. Está anomalía se diagnostica con frecuencia después de la semana 20. Ecografía Embarazo 2D y 3D - SEMANA 20 Ecografía Embarazo 4D - SEMANA 20
Desarrollo del feto en la semana 20
¡Estás en la semana 20 del desarrollo fetal, en la mitad del embarazo! Aquella diminuta célula hoy, 18 semanas más tarde, ya mide unos 20 centímetros y pesa casi un cuarto de kilo. Todos sus órganos vitales están formados, aunque todavía tienen que completar y perfeccionar su...
Proteínas y embarazo
En nuestro organismo, las proteínas tienen, entre otras, una función básica: construir y regenerar tejidos. Actúan como los “ladrillos” de nuestro cuerpo. Por eso son tan fundamentales en la alimentación durante el embarazo: el organismo de la gestante va a usarlas para la formación del...











