Ecografía semana 20: Cómo es el corazón fetal
Imagen de foco ecogénito en el ventrículo izquierdo
06/04/2017
|Actualizado: 26/09/2023

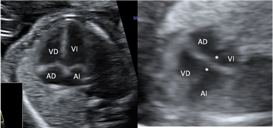
Corazón fetal en el que se aprecia una mancha brillante o foco ecogénito
La imagen de la flecha indica el foco ecogénito en el ventrículo izquierdo.
Ecografía Embarazo 2D y 3D Semana 20 - MALFORMACIONES FETALES
Ecografía Embarazo 4D Semana 20 - MALFORMACIONES FETALES
Dr. Roberto Rodríguez
Ecografista experto del Hospital La Paz (Madrid)
Artículos Relacionados
Cuarto mes: Desarrollo fetal
Tu feto crece ahora a buen ritmo, aunque más en longitud que en peso. En la semana 16 mide unos 11 cm y en la semana 20 llega a los 16-18 cm. El feto va adquiriendo movilidad y tono muscular, por lo que sus posturas son ya menos rígidas y sus movimientos menos bruscos, más sutiles. Ya no...
Dieta y desarrollo fetal
Un embarazo sano incide en toda la vida de la madre y de su futuro hijo, incluso antes de convertirse en gestante. Tener un peso adecuado previo all embarazo, llevar una alimentación sana y equilibrada antes y durante los nueve meses de gestación, tener unos hábitos de vida saludables...
Cómo es la semana 20 de embarazo
La semana 20 de embarazo es crucial para la madre y el bebé. Entramos en el ecuador de la gestación y nos toca la ecografía de la semana 20, llamada también ecografía morfológica. El especialista puede observar con detalle toda la anatomía del bebé para descartar posibles malformaciones...
Cómo es un embarazo de trillizos
La ecografía en 3D de un embarazo de trillizos en la semana 20 puede resultar complicada de interpretar: piernas y brazos de los pequeños se confunden. Los fetos tienen poco espacio dentro del útero materno. Embarazo de trillizos Uno de los bebés está cabeza arriba y los dos hermanos se...










