Ecografía semana 20: Cómo es un corazón con canal atrioventricular
Se trata de una malformación fetal
06/04/2017
|Actualizado: 26/09/2023

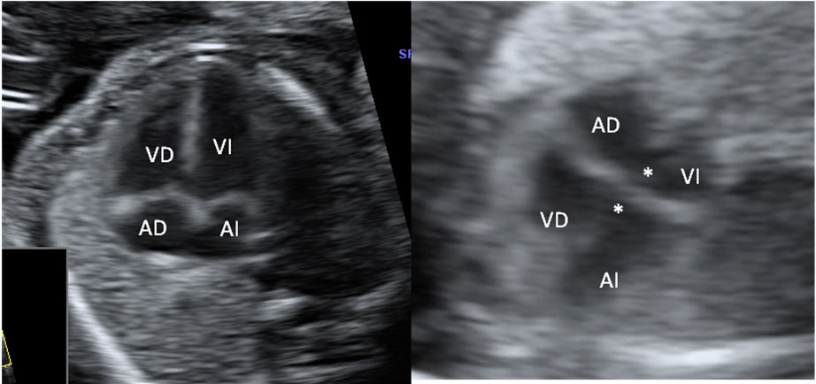
La imagen ecográfica muestra las cuatro cámaras de un corazón normal a la izquierda y de uno con canal atriventricular común (*) a la derecha.
Ecografía Embarazo 2D y 3D Semana 20 - MALFORMACIONES FETALES
Ecografía Embarazo 4D Semana 20 - MALFORMACIONES FETALES
Dr. Roberto Rodríguez
Ecografista experto del Hospital La Paz (Madrid)
Artículos Relacionados
Ecografía del embrión: semana 6
El embrión de seis semanas de gestación mide 5 milímetros y se independiza del saco vitelino. El tubo neural del bebé empieza a cerrarse a estas alturas del embarazo. Por eso es tan importante que tomes ácido fólico antes de la concepción, ya que a veces no sabes que estás embarazada en...
Cómo es la semana 6 de embarazo
La semana 6 de embarazo es importantísima: El latido del corazón del bebé se ve muy claro en la ecografía y su tubo neural ya empieza a cerrarse. De ahí la importancia de la suplementación de ácido fólico en el embarazo. La gestante empieza a notar claramente todos los síntomas de embarazo...
Tóxicos en el desarrollo fetal, ¿cuáles son?
Los investigadores han advertido que el desarrollo óptimo del bebé que aún está dentro del vientre materno y del niño hasta los cinco años es muy delicado. A menor desarrollo del niño, se produce más toxicidad de los agentes contaminantes . Lo más importante es que la exposición al tóxico...
Nutrientes "top" para las embarazadas
Durante el embarazo, el aporte de todos los nutrientes, vitaminas y oligoelementos que nuestro cuerpo necesita es aún más importante por el papel que todos estos elementos juegan en el desarrollo de nuestro bebé. A veces resulta difícil completar todos los requerimientos de nuestro...










