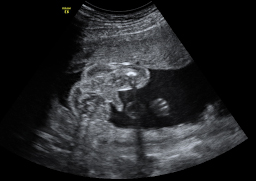
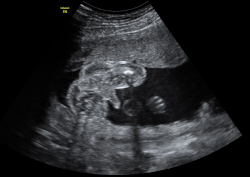
Ecografía 2D semana 20: Genitales de un niño
Ya formados pero los testículos aún no han descendido
05/04/2017
|Actualizado: 17/10/2023
En la semana 20 de gestación, la ecografía en 2D muestra los genitales de un feto varón ya formados, aunque los testículos aún se encuentran alojados dentro de la cavidad abdominal. En unas semanas descenderán hasta las bolsas escrotales.

Imagen de los genitales de un niño en 2D
La imagen ecográfica en dos dimensiones es básica para obtener la imagen en 3D en tiempo casi real.
Ecografía Embarazo 2D y 3D - SEMANA 20
Ecografía Embarazo 4D - SEMANA 20











