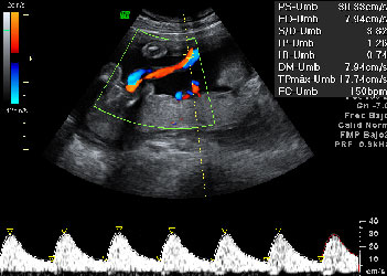
Ecografía: Doppler pulsado del cordón umbilical
Explora la circulación sanguínea del cordón
05/04/2017
|Actualizado: 13/11/2024
La ecografía Doppler estudia el flujo sanguíneo dentro de los vasos. En este caso, se analiza la circulación sanguínea en el cordón umbilical, es decir, como llega la sangre oxigenada de la placenta al feto y el camino contrario, la sangre poco oxigenada del feto a la placenta.

Doppler pulsado del cordón umbilical
En la parte inferior de la imagen se observa un trazado normal del flujo sanguíneo a través de la arteria umbilical (arriba).
Ecografía Embarazo 2D y 3D










