Ecografía: Bebé tapándose la cara con los brazos
Gesto innato del bebé que mantendrá en la cuna
05/04/2017
|Actualizado: 17/10/2023
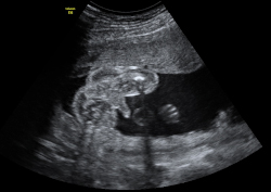
En la ecografía en 3D vemos a un bebé de 20 semanas de gestación se tapa la cara con ambos brazos y aprieta los puños. Se trata de un gesto innato que mantendrá en la cuna durante los primeros meses de vida.

Imagen de bebé tapándose la cara con ambos brazos
Ecografía Embarazo 2D y 3D - SEMANA 20
Dr. Roberto Rodríguez
Especialista en Ginecología y Obstetricia del Hospital La Paz (Madrid)
Artículos Relacionados
Movimientos fetales
Entre la semana 20 a 22, se empieza a sentir el movimiento del feto, las clásicas "pataditas", o antes si tiene más hijos. El feto hace movimientos de flexión y extensión de las extremidades de su cuerpo y eso puede producir dolor en ciertas partes del abdomen. En mujeres delgadas, con...
Patadas del bebé, ¿cuándo se notan?
Notar la primera patada del bebé es un momento único en el embarazo. Es la primera señal de que tu hijo crece dentro de tu útero. Te contamos cuándo se empieza a mover el bebé y cuándo notarás las primeras patadas. Qué movimientos son normales y cuándo te conviene consultar al médico....
Ecos 2D, 3D y 4D, qué elegir
Lo primero aclarar que las ecografías en 3D no se realizan de rutina, mientras que las segundas siguen siendo las más extendidas. Una imagen en 3D se construye a partir de la información obtenida por sondas ecográficas especiales. Permite visualizar el rostro y el cuerpo del bebé con...
Tóxicos en el desarrollo fetal, ¿cuáles son?
Los investigadores han advertido que el desarrollo óptimo del bebé que aún está dentro del vientre materno y del niño hasta los cinco años es muy delicado. A menor desarrollo del niño, se produce más toxicidad de los agentes contaminantes . Lo más importante es que la exposición al tóxico...











