Ecografía 4D: Cómo es un bebé con el dedo en la boca
El reflejo de succión lo mantendrá con la lactancia
05/04/2017
|Actualizado: 17/10/2023
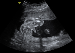
Esta ecografía 4D de la semana 20 de embarazo muestra que los bebés prácticamente empiezan a chuparse el dedo dentro del útero materno. El feto se acerca el dedo pulgar a la boca y en las imágenes finales la abre, muy probablemente para chupárselo.
Perfil de un bebé con el dedo pulgar cerca de la boca
En las imágenes del final, se puede apreciar cómo la criatura incluso abre la boca, quizá para chuparse el dedo pulgar. Es un reflejo el de succión que mantendrá fuera del útero, ya sea con su propio dedo o mediante la lactancia materna.











