Ecografía semana 20: Vídeo del aparato genital de un niño
Se distingue el escroto del bebé
05/04/2017
|Actualizado: 17/10/2023
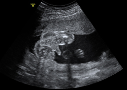
En esta ecografía en 4D se distingue el escroto de este feto varón. En la ecografía de la 20 semanas de embarazo, es muy probable que la embarazada ya sepa el sexo de su bebé, ya que se puede ver en la semana 12. No obstante, ahora se confirma.
Ultrasonido del aparato genital masculino en tres dimensiones
Las imágenes dan buena cuenta del sexo del bebé: se aprecia la pierna, el escroto, el pie y el cordón umbilical de la criatura.











