Ecografía 4D: Trillizos de 10 semanas
Aún tienen espacio para moverse
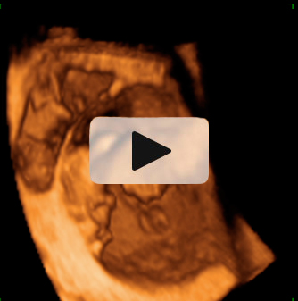
Esta ecografía en 4D nos muestra un embarazo de trillizos con tan solo 10 semanas de gestación. Losa fetos ahora se mueven mucho: hay mucho espacio dentro del útero materno.
Trillizos de 10 semanas en ecografía 4D
Esta ecografía en 4D nos muestra un feto solo en su bolsa (arriba) y a dos hermanos gemelos debajo, que comparten placenta, pero están alojados en bolsas diferentes, según la apreciación del ecografista experto que la realiza. Eso sí, se ve perfectamente una membrana de separación entre el bebé "solitario" y sus hermanos. Los tres, con tan sólo 10 semanas de gestación, se mueven a sus anchas porque aún hay mucho espacio dentro del útero materno. Este tipo de trillizos es típico de la reproducción asistida: se transfieren tan sólo dos embriones, pero uno de ellos se convierte en embarazo gemelar. Resultado: familia numerosa en un sólo parto.
Ecografía Embarazo 4D - SEMANA 12








