Ecografía de la semana 12: Cómo se mide al feto
La CRC mide de la cabeza al coxis o rabadilla
En la ecografía 2D de este feto de 12 semanas, podemos apreciar la medida cráneo-caudal o CRC (desde la cabeza hasta la rabadilla o coxis), que en este caso es de 6,2 centímetros. Estirado, el bebé mide más -algo más de 10 centímetros-, pero los especialistas suelen tomar esta medida, más fácil de acotar, como referencia fundamental para conocer su crecimiento. Se pueden observar las piernas encogidas de la criatura.

Ecografía en 2D de feto de 12 semanas con medida cráneo-caudal
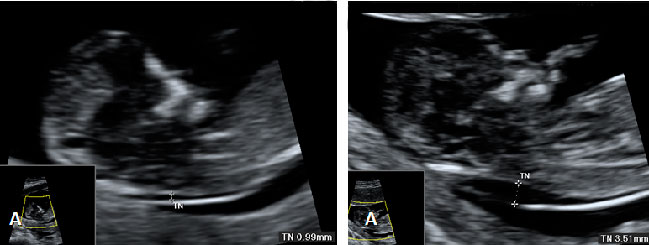
Ecografía Embarazo 2D y 3D Semana 12 - PLIEGUE NUCAL
Ecografía Embarazo 4D Semana 12 - PLIEGUE NUCAL





