Ecografía 3D de la semana 11: Feto de perfil
Se distinguen partes de su cara
En la ecografía en 3D de este feto de 11 semanas de embarazo se pueden distinguir sus extremidades superiores e inferiores ya formadas, así como el esbozo de las orejas y una incipiente nariz.

Ecografía 3D de feto de 11 semanas, de perfil
Este bebé tiene tan sólo 11 semanas de gestación, pero ya podemos identificar muchos de sus órganos y estructuras básicas (huesos del brazo y la pierna, fontanela, ojo, nariz y oreja...). Puede apreciarse el cordón umbilical y la pared uterina sobre la que se apoya.
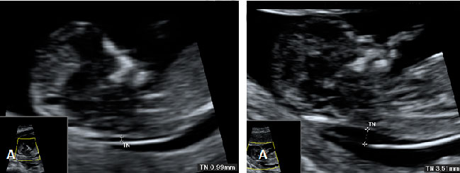
Ecografía Embarazo 2D y 3D Semana 12 - PLIEGUE NUCAL
Ecografía Embarazo 4D Semana 12 - PLIEGUE NUCAL





