Ecografía semana 12 de embarazo gemelar
Los bebés tiene la cabeza en direcciones opuestas
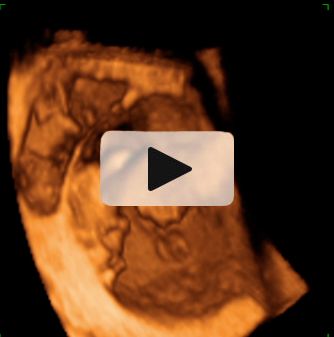
Ecografía 4D de gemelos de 12 semanas "contrapeados": Cada uno de los bebés está con la cabeza en una dirección, tal y como podemos visualizar en el ultrasonido. Uno de los gemelos se mueve al final de las imágenes de la ecografía mientras su hermano descansa.
Ecografía en 4D de gemelos de 12 semanas "contrapeados"
Cada gemelo está con la cabeza en una dirección, tal y como se aprecia en esta ecografía en 4D. Los dos fetos "contrapeados" tienen bolsas y placentas independientes. Destaca el movimiento del gemelo que aparece en la parte superior de la imagen: pareciera que se "arranca" a bailar al final del vídeo, mientras que su hermano permanece más tranquilo en su bolsa.








