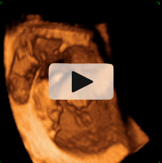
Ecografía 4D de la semana 12: Feto moviéndose de perfil
El movimiento es signo de vitalidad fetal
31/03/2017
|Actualizado: 13/11/2024
La ecografía 4D muestra al bebé moviéndose a sus anchas en el útero materno. Este plano de perfil muestra brazos, piernas y cordón umbilical en movimiento constante, lo que es es signo de vitalidad fetal. Las estructuras básicas de un feto de 12 semanas de gestación se parecen mucho a las de un bebé recién nacido; es ya todo un niño, aunque le falten unos seis meses aproximadamente para ver la luz.
Ecografía 4D: feto de 12 semanas moviéndose de perfil








