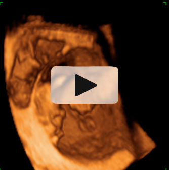
Ecografía 3D de la 15 semanas: Así es el feto
Se distingue cabeza, tronco y extremidades
En la ecografía en 3D del feto en la 15ª semana de gestación se aprecia su anatomía. Es casi como la de un bebé a punto de nacer. Mide alrededor de los 10 cm y pesa unos 50 gramos.

Imagen de un feto de 15 semanas en ecografía 3D
La imagen es impresionante: la apariencia de este feto, de 15 semanas, es la de un niño que no le queda mucho tiempo de gestación para nacer. Cabeza, tronco, brazos y piernas se perfilan perfectamente en la ecografía del primer trimestre. Se lleva la mano a la boca mientras descansa apoyado en la pared uterina, como es normal es esta edad gestacional. La mayoría de las madres no se imagina que los fetos están tan "acabados" con apenas cuatro meses de embarazo.
Ecografía Embarazo 2D y 3D - SEMANA 12
Ecografía Embarazo 4D - SEMANA 12








