Ecografía semana 12: Cabeza, tronco y cordón umbilical
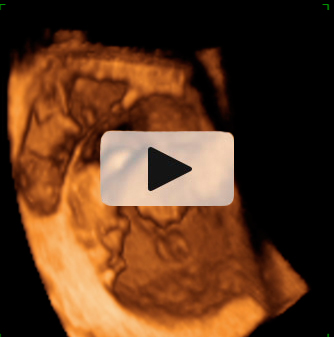
La cabeza aún es muy grande respecto al cuerpo
28/03/2017
|Actualizado: 13/11/2024

Aspecto de un bebé de 12 semanas tomado en ecografía 3D.
Se pueden apreciar con toda claridad la cabeza (aún más grande en proporción, que el resto del cuerpo), el tronco, las extremidades y el cordón umbilical. El niño ya se apoya con la espalda en el útero materno, lo que facilita la exploración por parte del ecografista.
Ecografía Embarazo 2D y 3D - SEMANA 12
Ecografía Embarazo 4D - SEMANA 12








