Ecografía 4D semana 12: Bebé moviendo brazos y piernas
Destaca la gran vitalidad del feto
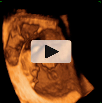
La ecografía 4D muestra un bebé de 12 semanas de gestación moviéndose con gran vitalidad dentro del útero materno. Se percibe perfectamente que el feto tiene formadas todas sus estructuras básicas, a falta de que maduren a lo largo del embarazo.
Ecografía en 4D de bebé de 12 semanas moviendo brazos y piernas
La vitalidad del bebé es increíble. Mueve brazos y piernas con energía, como si estuviera nadando, o haciendo un "sprint" final. En realidad está apoyado en la pared uterina de su madre. Se perciben las estructuras básicas del feto con gran claridad: cabeza, aún muy grande respecto al cuerpo, tronco y extremidades. Este movimiento es uno de los signos de vitalidad fetal que los ecografistas siempre evalúan en sus exploraciones.
Ecografía Embarazo 4D - SEMANA 12
Ecografía Embarazo 2D y 3D - SEMANA 12








