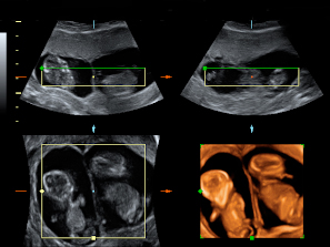
Ecografía semana 12: Gemelos moviendo sus extremidades
Brazos y piernas muy visibles dentro del útero materno
30/03/2017
|Actualizado: 13/11/2024
Los movimientos de estos gemelos de 12 semanas de gestación son extraordinariamente claros en la ecografía 4D. Los bebés mueven todo su cuerpo, especialmente brazos y piernas, adoptando multitud de posturas. Destaca el aspecto fieramente humano de los fetos, a pesar de su diminuto tamaño. Cuentan con dos placentas y dos bolsas independientes; la gruesa membrana de separación entre los bebés es visible en el registro ecográfico.
Ecografía 4D de gemelos de 12 semanas moviendo sus extremidades
Ecografía Embarazo 4D Semana 12 - ANOMALIAS CROMOSÓMICAS






