Ecografía de gemelos "jugando" con el cordón umbilical
Los bebés están en posición muy erguida
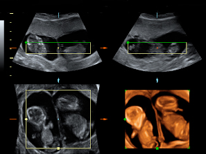
El movimiento de gemelos en el útero encierra sorpresas, como en esta ecografía 4D en la que vemos a dos hermanos en sus respectivas bolsas. El gemelo de la derecha parece estar bailando el "hula hoop" con su propio cordón umbilical, que le rodea las piernas formando un círculo. Destaca la posición casi erguida del niño dentro del útero materno, casi a punto de dar un paso. Cuando uno de los fetos genera mucho movimiento, suele arrastrar a su gemelo a que se mueva también, aunque esté adormecido.
Ecografía 4D de gemelos de 12 semanas moviéndose: el baile del "hula hoop"
Ecografía Embarazo 4D Semana 12 - ANOMALIAS CROMOSÓMICAS






