Ecografía semana 12: Gemelos en bolsas independientes
La membrana es muy gruesa
Imagen de un embarazo gemelar que recoge tres ecografías 2D y una en 3D. Los cuatro ultrasonidos demuestran que los bebés están alojados en bolsas independientes con placentas también independientes. Y la membrana que separa los fetos es muy gruesa, según se aprecia en la imagen tridimensional.

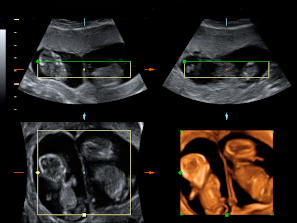
Ecografía en 2D y 3D de gemelos de 11 semanas en planos diferentes
Imágen en dos dimensiones de un embarazo gemelar. El ecografista toma una "porción de imagen" (rectángulos) y luego otro corte o plano diferente (cuadrado), que corresponde a imágenes en 2D y 3D. Podemos observar con gran nitidez a los gemelos en dos bolsas independientes, así como las placentas que los alimentan. La membrana de separación entre ambos hermanos es muy gruesa. El punto central de color que aparece en las ecografías en dos dimensiones (2D) corresponde con la membrana de separación de los gemelos. La imagen en 3D lo confirma sin género de duda.
Ecografía Embarazo 2D y 3D Semana 12 - ANOMALÍAS CROMOSÓMICAS
Ecografía Embarazo 4D Semana 12 - ANOMALÍAS CROMOSÓMICAS






