Cómo funciona el test que averigua la madurez pulmonar fetal
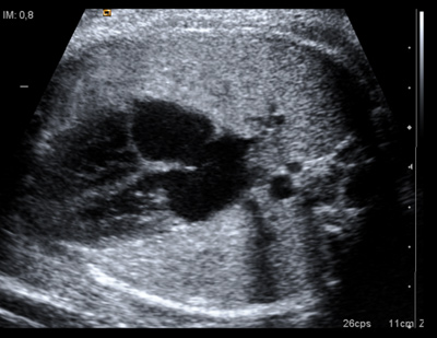
Analiza los pulmones del bebé mediante ecografía 2D
Saber si los pulmones del bebé están maduros o no es importante en muchos embarazos de riesgo que necesitan acabar antes de tiempo. Expertos de BCNatal (Hospital Clínic-Hospital Sant Joan de Deu) acaban de presentar en sociedad el primer test no invasivo para averiguar la madurez pulmonar fetal.
Se trata de un software, quantusFLM, disponible a través de una aplicación web que evalúa imágenes ecográficas en 2D de la zona pulmonar fetal. Es capaz de determinar si el bebé está listo para respirar o no. El sistema presenta una fiabilidad simular a los métodos disponibles hasta la fecha, basados en una prueba invasiva, la amniocentesis.
El "software" ha sido diseñado por la empresa Transmural Biotech, una empresa "spin-off" del Hospital Clínic de Barcelona y la Universidad de Barcelona, especializada en el desarrollo de tecnologías médicas basadas en el procesado de la imagen. Roc Viñas, su director de Operaciones explica con detalle las novedades que aporta esta nueva tecnología.
¿En qué consiste el nuevo test de madurez pulmonar fetal?
Se trata de un "software" que analiza una ecografía. Necesitamos que el ginecólogo realice una ecografía de los pulmones del feto: en unos diez minutos, nuestro programa examina la imagen ecográfica pulmonar y es capaz de dar un diagnóstico fiable sobre la madurez pulmonar. ¿Cómo? El doctor accede a nuestro programa a partir de una aplicación web y "sube" la ecografía para que el sistema la analice.
¿Qué ventajas tiene respecto a otras técnicas que se usan hoy para el mismo fin?
Hasta la aparición de quantusFLM, todos los métodos fiables para conocer la madurez pulmonar fetal se basaban en el análisis del fluido amniótico, obtenido mediante una amniocentesis. Eso significa extraer líquido amniótico a la madre -con lo que ello supone de incomodidad y riesgos para la embarazada (el aborto, por ejemplo)- y analizarlo en un laboratorio. Nuestro sistema, es capaz de proporcionar resultados con la misma fiabilidad analizando únicamente una ecografía que muestre los pulmones del feto. Por tanto, la ventaja principal es que nuestro "software" no es invasivo. A la vez, acortamos tiempos de espera y muchas molestias para la madre.
¿Por qué es tan importante conocer la madurez pulmonar fetal?
Los pulmones son uno de los órganos que más tardan en completar el proceso de maduración a lo largo de una gestación. Por ello, los nacimientos prematuros tienen un cierto riesgo de padecer problemas relacionados con la inmadurez pulmonar. De hecho, los problemas relacionados con la inmadurez pulmonar fetal son una de las principales causas de mortalidad en nacimientos prematuros.
Conocer de forma no invasiva el estadio de madurez pulmonar puede ser una información de gran ayuda en el manejo de ciertas situaciones clínicas en las que la balanza de riesgo/beneficio de finalizar el parto o tratar de retrasarlo depende de la madurez pulmonar del feto. Calculamos que puede beneficiar al 3 por ciento de los partos, lo que supone unos 300.000 casos anuales en Europa y Estados Unidos. Nuestro test no sería una técnica de uso masivo en la mayoría de los partos pero sí vital en ciertos partos prematuros.
¿Cómo funciona esta tecnología?
La base es el procesado de la imagen. Nuestro software ha aprendido a reconocer parámetros y características dentro de la imagen que se correlacionan con el estado madurativo del pulmón fetal. Se trata de una aplicación web, en la que subiendo una imagen ecográfica de los pulmones del feto se puede determinar de forma fiable, no invasiva y rápida, la madurez pulmonar fetal. El doctor no tiene que instalarse ningún programa y no es necesario que tenga ningún conocimiento sobre el procesado de imagen, ya que el proceso es automático para el usuario final.
¿Qué tipo de ecografía se necesita para el test de madurez pulmonar?
Necesitamos imágenes ecográficas en 2D normales. Lo que pedimos al ginecólogo es una imagen en el plano de las cuatro cámaras del corazón fetal, que muestra muy bien los pulmones. Esta imagen la toma el ecografista perfectamente, está muy habituado hacerla porque es necesaria para evaluar el corazón del bebé.
¿La embarazada necesita alguna preparación especial para este test?
La paciente que se hace la ecografía no ve nada extraordinario, no nota nada diferente. Como se trata de una aplicación web, la embarazada solo conoce el resultado del test de madurez pulmonar unos minutos después de que le sea realizada la ecografía.
¿Y en cuanto a costes?
Es muy razonable: aproximadamente cuesta lo que una amniocentesis. Creemos que el ahorro más grande reside en que al ser un test no invasivo se podrá usar más de lo que se está usando las alternativas basadas en amniocentesis, de este modo se podrán prevenir casos de problemas respiratorios, reduciendo el número de bebes que ingresan en las unidades de cuidados intensivos, con el coste que ello acarrea.
¿Cuántos centros han implantado esta tecnología en España?
De momento unos 15 que ya lo tienen implantado y bastantes más que lo están evaluando en periodo de prueba. El número de centros va creciendo mes a mes, puesto que el producto está en el mercado desde hace muy poco. Hasta la fecha hemos realizado ya unos 80 test con unos resultados muy buenos. Podemos decir que los ginecólogos que lo prueban, se lo quedan.

